全瓷贴面如何治疗牙齿稀疏
核心提示:
铭医口腔自引进白玉全瓷贴面至今,已经精致的为许多春城爱美者修整好了牙齿各系列问题。其中至显著的就是牙齿稀疏了。因为它的厚度急薄,仅类似于隐形眼镜厚度,因此基本上不需要
铭医口腔自引进白玉全瓷贴面至今,已经精致的为许多春城爱美者修整好了牙齿各系列问题。其中至显著的就是牙齿稀疏了。因为它的厚度急薄,仅类似于隐形眼镜厚度,因此基本上不需要
铭医口腔自引进白玉全瓷贴面至今,已经精致的为许多春城爱美者修整好了牙齿各系列问题。其中至显著的就是牙齿稀疏了。因为它的厚度急薄,仅类似于隐形眼镜厚度,因此基本上不需要磨除正常的牙体组织,不许麻醉,可以直接粘在牙齿表面,珍贝全瓷贴面对您的牙齿本身不造成任何破坏和损伤,同时又能满足您拥有又白又整齐牙齿的愿望,真正做到了美牙不伤牙.

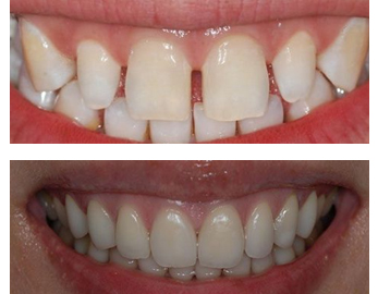
全瓷贴面治疗牙齿稀疏
那么对于牙齿稀疏,全瓷贴面技术有什么明显的优势呢?
一:3D数码定位,形态更加逼真
全瓷贴面综合进入数字时代,通过3D准确根据个人身高、脸型、肤色以及职业需要来设计制作,完全量身定制,效果更加精致!
二:精选高端材料,质量更具保障
全瓷贴面选用进口全瓷材料,其生物相容性达到卓绝,使用半年后即可与自身牙生长融合,有效保护了牙髓和牙神经.德国VITA比色技术色泽更加逼真.







