矫正虎牙有效的方法是什么?
核心提示:
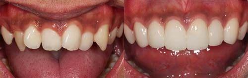
灿烂的笑容,自信的你,美丽改变人生! 目前虎牙矫正好的方法是什么?虎牙在小时候往往都是可爱的标示,但是随着年龄的成长,虎牙挤出正常位置且往外翘,一张口,有碍观瞻。为此,很多人都想要矫正,但是不知道用什么方法目前虎牙矫正好的方法是什么?
灿烂的笑容,自信的你,美丽改变人生! 目前虎牙矫正好的方法是什么?虎牙在小时候往往都是可爱的标示,但是随着年龄的成长,虎牙挤出正常位置且往外翘,一张口,有碍观瞻。为此,很多人都想要矫正,但是不知道用什么方法目前虎牙矫正好的方法是什么?
灿烂的笑容,自信的你,美丽改变人生! 目前虎牙矫正有效的方法是什么?虎牙在小时候往往都是可爱的标示,但是随着年龄的成长,虎牙挤出正常位置且往外翘,一张口,有碍观瞻。为此,很多人都想要矫正,但是不知道用什么方法目前虎牙矫正有效的方法是什么?

吉林铭医整形美容医院专家表示,虎牙畸形也是牙齿畸形中比较常见的一种,虎牙畸形大多是可以进行矫正的,吉林铭医会根据就患者的年龄、牙齿状况,采用合适的专业口腔牙齿矫正方法和手段,还根据患者制定出至适合的矫正方案。能够为爱美人士综合解决因虎牙带来的诸多不便,力求让每一位求美者都可在瞬间拥有精致、自然、的皓齿。
以上就是介绍虎牙矫正的好的方法,吉林铭医整形美容医院专家提醒做牙齿矫正要趁早,越早矫正效果越好。
- 上一篇:虎牙可以做长春牙齿矫正吗?
- 下一篇:铭医口腔专家告诉你虎牙矫正的年龄







