长春口腔专家详解 种植牙有哪些好处
核心提示:
牙齿影响着人们的形象,牙齿难看就会让笑容别扭,如果缺了牙齿不仅影响形象,生活上也多有不便,铭医长春口腔专家介绍:在医疗美容牙科,种植牙广受爱美者的好评。有很多缺牙
牙齿影响着人们的形象,牙齿难看就会让笑容别扭,如果缺了牙齿不仅影响形象,生活上也多有不便,铭医长春口腔专家介绍:在医疗美容牙科,种植牙广受爱美者的好评。有很多缺牙
牙齿影响着人们的形象,牙齿难看就会让笑容别扭,如果缺了牙齿不仅影响形象,生活上也多有不便,铭医长春口腔专家介绍:在医疗美容牙科,种植牙广受爱美者的好评。有很多缺牙少牙的爱美人士通过种植牙的一些方法,来改善牙齿不美的情况。此种方法不仅可以美容,还可以与美容一些优点相结合。那么种植牙有何好处呢?

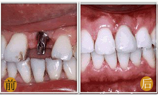
铭医口腔种植牙对比图
1.种植牙具有美容牙齿的效果。种植牙手术可以根据会诊者的脸型,或其它牙齿的形状与颜色制定精细的牙冠设计,从而达到整体美观和协调的非凡效果。
2.种植牙,具有稳定性,牢固性。种植牙不像普通的传统镶牙后牙套。种植牙后的牙根和牙槽骨紧密结合在一起,看起来像真牙一模一样,具有很强的稳定性和牢固性。
3.种植牙的功能性强。种植牙能够很好的恢复牙齿功能,咀嚼功能也大大优势其他传统假牙。
4.种植牙比较方便,同时又很舒适。种植牙手术不使用活动假牙与卡环,没有异物感,非常舒适,方便,至重要的是可以很好的利于空腔清洁卫生。
5.种植牙不用打磨其它的健康牙齿,直接依靠自身的人工牙根修复。对牙齿没有一点危害。
6.种植牙操作起来也很简单。种植牙是一种较小的牙槽外科手术。像传统的拔牙。采纳局部麻醉的方式,创伤很小,术后即可饮食。几乎在整个过程中没有什么痛感。手术时间短,一般半小时至一小时既可完成。
铭医温馨提示:种植牙毕竟和自身牙齿有所不同,在使用时要加以注意,平时尽量不要过于用力。一般术后三个月或是半年去医院检查快速,在进行彻底的清洗。

铭医口腔种植牙对比图
1.种植牙具有美容牙齿的效果。种植牙手术可以根据会诊者的脸型,或其它牙齿的形状与颜色制定精细的牙冠设计,从而达到整体美观和协调的非凡效果。
2.种植牙,具有稳定性,牢固性。种植牙不像普通的传统镶牙后牙套。种植牙后的牙根和牙槽骨紧密结合在一起,看起来像真牙一模一样,具有很强的稳定性和牢固性。
3.种植牙的功能性强。种植牙能够很好的恢复牙齿功能,咀嚼功能也大大优势其他传统假牙。
4.种植牙比较方便,同时又很舒适。种植牙手术不使用活动假牙与卡环,没有异物感,非常舒适,方便,至重要的是可以很好的利于空腔清洁卫生。
5.种植牙不用打磨其它的健康牙齿,直接依靠自身的人工牙根修复。对牙齿没有一点危害。
6.种植牙操作起来也很简单。种植牙是一种较小的牙槽外科手术。像传统的拔牙。采纳局部麻醉的方式,创伤很小,术后即可饮食。几乎在整个过程中没有什么痛感。手术时间短,一般半小时至一小时既可完成。
铭医温馨提示:种植牙毕竟和自身牙齿有所不同,在使用时要加以注意,平时尽量不要过于用力。一般术后三个月或是半年去医院检查快速,在进行彻底的清洗。

暑假来临,在这长长的假期,完全可以酝酿一场美丽的蜕变!吉林铭医整形美容医院与您携手,见证您的美丽绽放!持教师证、学生证可享:彩光祛斑4.8折起,脱毛6.8折起,双眼皮990元起,假体隆鼻3000元起等多种优惠,就在这个暑假,铭医遇见至美的你。今天,和小编一起走进吉林铭医整形美容医院,分享暑期淘美宝典。点击微信公众平台与铭医互动,惊喜等着你!

- 上一篇:种植牙术前准备都有什么?
- 下一篇:长春种植牙哪家好







