铭医口腔美容冠,还您皓白明齿灿烂笑容
形象问题已经成为关乎求职、婚姻、生活、择偶、升迁、人际交往的重要指标。咖啡、烟酒让色素牙和畸形牙常见,铭医3D美容冠技术,可以在1小时内彻底解决龅牙、虎牙、牙列不齐。。。
形象问题已经成为关乎求职、婚姻、生活、择偶、升迁、人际交往的重要指标。咖啡、烟酒让色素牙和畸形牙常见,铭医3D美容冠技术,可以在1小时内彻底解决龅牙、虎牙、牙列不齐、牙齿稀疏、畸形牙、四环素牙、氟斑牙、变色牙、牙齿缺失、烤瓷牙失败等牙齿难看症状,瞬间缔造明星皓齿。
什么叫美容冠技术
美容冠是牙齿美容的一种新型技术,至早起源于欧美、日韩等中国,美容冠具有修复牙齿不拔牙、不伤牙等优点,被广大消费者热捧,针对成人,对龅牙、排列歪斜牙、畸形牙以及色素牙,可彻底、快速矫正修复,无需拔牙,全程无痛。生物相容性好,牙龈不会出现黑线,10天还你洁白整齐牙齿,终生美齿。
健康、舒适、和谐、个性的牙齿美学观念,集牙齿修复美学、牙齿正畸美学、牙齿美白科技、牙齿美容学说于一体,以恢复牙齿的健康美丽为前提,全程安全无菌、舒适无痛。
铭医-美容冠修复“金标准”
铭医引进的美容冠是目前全球效果好、至精密、准确的美容冠系统,构建了美容冠修复的“金标准”,创造高端质量的牙科修复体,达到一种牙齿的生理性重构,就像是您自己“长”出来的牙齿,无论是在形态、颜色、功能上都符合现代人至高的审美期望。
选择铭医美容冠的三大理由
个性化设计 为您订制专属 医学美牙设计专家为每一位牙齿美容顾客量身设计符和医疗美学标准的美牙方案,让每一颗牙齿都像艺术品一样宛如天成,坚固耐用。
引进领航设备 汇集全球美牙技术 铭医口腔科引进美牙系统领航先进的诊疗设备,让您不出国门就能享有全球高端的口腔医疗服务。
安全无菌 可靠美观 为保证口腔诊疗过程安全无菌,杜绝交叉感染,铭医口腔科对器械进行统一消毒灭菌,真正做到"一医二助一室一机一盘一针一消毒"。
铭医美容冠6大美牙保障
1、不伤原牙
美容冠在不损伤牙齿、牙龈的前提下根据牙槽骨的形态对牙齿做修整,仅对不整齐的凸出部位进行精细打磨,无需拨牙。
2、自然持久
德国VITA比色技术,以26阶牙色层次化类比,为你调配至适合牙色,更采用三维数字成型,使之呈现持久天然光泽。
3、坚固耐磨
选用领航高端材料,令修复后牙齿坚固耐磨,美容冠与原牙紧密贴合,有效保护原牙,自然美观。
4、终生美齿
如能按医嘱进行保养,可相伴终生。
5、无不良反应
无以往存在的牙龈红肿、黑线等现象。
6、高效无痛
全程无痛,高效快速,2次治疗,只需等待5天,即可完成。
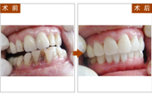
美容冠修复前后对比图



- 上一篇:牙齿矫正牙套有几种?
- 下一篇:长春牙齿矫正选择铭医美容冠







