长春铭医治疗痤疮用什么方法?
核心提示:
青春痘形成的原因有很多种,根本原因是痤疮丙酸杆菌导致的,通过长春铭医整形美容医院激光治疗,可以有效消灭导致痤疮的罪魁祸首。
青春痘形成的原因有很多种,根本原因是痤疮丙酸杆菌导致的,通过长春铭医整形美容医院激光治疗,可以有效消灭导致痤疮的罪魁祸首。
青春痘形成的原因有很多种,根本原因是痤疮丙酸杆菌导致的,通过长春铭医整形美容医院激光治疗,可以有效消灭导致痤疮的罪魁祸首。

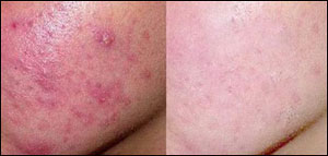
专家介绍,激光治疗痤疮是一种全新的绿色治疗方法,应用专属的光热治疗技术,光热能量高效杀灭痤疮丙酸杆菌,其至大的优势在于起效快速,且无任何副作用。不用药物就可以快速治疗痤疮。
激光治疗痤疮就是使用特定波长的激光,对抑制痤疮赖以产生的皮脂过多,杀死导致痤疮的多种细菌,具有很强的功效,从而使新生的痤疮及时隐退。除此之外,激光还可以有效地刺激皮肤注射营养的再生,使生过痤疮后留下的凹凸不平的痕迹恢复平整,再加上具有的激光磨削作用,从而使治疗痤疮和取出痤疮疤痕双向作用合为一体,对痤疮的治疗更具精致。
根据激光治疗痤疮的原理可知,激光治疗痤疮效果显著,而且是一种非常安全快捷的方式。
- 上一篇:如何用激光治疗痤疮?
- 下一篇:长春铭医激光祛痘效果好吗?







