牙齿瓷贴面的优点是什么
核心提示:
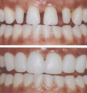
牙缝大、瓜子牙、牙齿颜色不佳等情况都可以通过牙齿贴面的方法进行修复,如今牙齿贴面常用的两种材料是瓷贴面和树脂贴面,其中资贴面因为与真牙颜色更接受,受到许多人的喜欢,那么瓷贴面还有哪优点呢?
牙缝大、瓜子牙、牙齿颜色不佳等情况都可以通过牙齿贴面的方法进行修复,如今牙齿贴面常用的两种材料是瓷贴面和树脂贴面,其中资贴面因为与真牙颜色更接受,受到许多人的喜欢,那么瓷贴面还有哪优点呢?
牙缝大、瓜子牙、牙齿颜色不佳等情况都可以通过牙齿贴面的方法进行修复,如今牙齿贴面常用的两种材料是瓷贴面和树脂贴面,其中资贴面因为与真牙颜色更接受,受到许多人的喜欢,那么瓷贴面还有哪优点呢?

瓷贴面的优点:
1、瓷贴面的费用要低于烤瓷牙,而且瓷贴面的治疗时间短。
2、瓷贴面的颜色与天然牙的颜色很接近。
3、瓷贴面的操作过程很精细,而且没有痛楚。
4、与传统树脂贴面相比较,寿命更长。
瓷贴面适用于哪些症状
一般情况下,瓷贴面适用于牙齿排列不一、牙间隙大还有由于使用大量抗生素或者食用带色素的食物导致牙齿变色等症状。
- 上一篇:测一测你需不需要做烤瓷牙
- 下一篇:烤瓷牙术前术后准备如何做?







